• Menu
  • Call
  • Email
  • Info
  • Navigate
German Dental Logo
Home Services Smile-Gallery Clinic Help Downloads Partners Contact
Seite auf Deutsch anzeigen Показать страницу на русском เปลี่ยนเป็นภาษารัสเซีย
Home Services Smile-Gallery Clinic Help Downloads Partners Contact
Seite auf Deutsch anzeigen Показать страницу на русском เปลี่ยนเป็นภาษารัสเซีย

Before & After

Beautiful and well-maintained teeth can have a positive influence on your health, your social environment, and your career.

Take a look at what the proven cooperation between dentist and dental laboratory can mean for our patients.

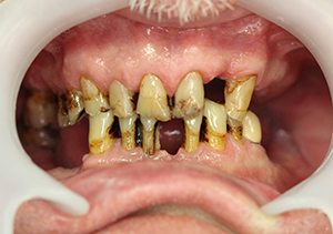
Move the slider to compare the situation before and after the treatment!

Before treatment After treatment

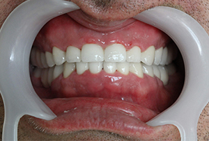
Upper jaw: 3 telescopes

Lower jaw: 6 telescopes

Before treatment After treatment

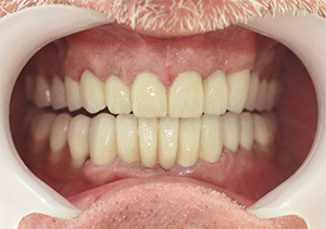
Upper jaw: 7 telescopes

Lower jaw: 9 telescopes

Before treatment After treatment

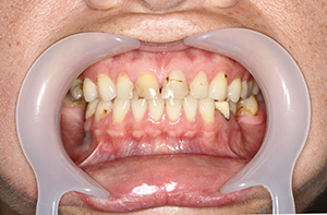
Upper jaw: 5 telescopes

Lower jaw: 6 telescopes

Before treatment After treatment

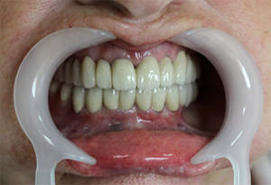
Upper jaw: 14 crowns

Lower jaw: 16 crowns

Before treatment After treatment

Upper jaw: 15 crowns

Lower jaw: 16 crowns

Before treatment After treatment

Upper jaw: 15 crowns

Lower jaw: 15 crowns

Please note that our opening hours are from Monday to Thursday 9 a.m. - 6 p.m.

Address

162/197 Moo 10 Thappraya Road Soi 9
Nongprue Banglamung
Chonburi 20150
Thailand

Phone

    +66 (0)38 251 289

    +66 (0)38 365 020

Fax

    +66 (0)38 251 232

Email

    info@germandental.com

© German Dental 2020 - All rights reserved